
Newest Illuminator from Miles Eye: Fold-Out Multi-Angle (FOMA)

This illuminator uses rectangular magnets on the front output end of each lightguide, and these are each seated on a rectangular magnets that are positioned to point directly at the in-focus iris:

With this illuminator, the outer side arm is moved into position on the lateral side of the eye and has 3 magnets positioned at 45, 60 and 75 degrees from the lens axis. The angle of illumination is easily and quickly modified by moving the lightguide to a prepositioned magnetic mount:

This illuminator allows for rapid setting or changing of illuminator angle without need for any alignment target or adjustment of angle settings. This is helpful in the busy clinic or photo art studio iris photography.
The key feature of this illuminator is its ability to immediately get images of the iris using central lighting (15 degrees lateral), conventional side lighting (45 degrees lateral) and extreme side lighting (60 to 75 degrees lateral). For example the following sequence of images were acquired in about 1 minute per eye:

The illuminator is quite versatile since it can get central-lighting (15 degree lateral) for biometric and clinical evaluation, as well as the conventional 45-degree lighting to show surface texture:


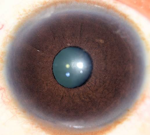
For the blue iris, the central lighting (15-degree) is often best. So the best angle of lighting depends on the iris color.
The Miles Eye Camera with the Fold-Out Multi-Angle Illuminator

This newest iris illuminator is faster and easier to use than all prior multi-angle illuminators!


The Fold-Out Multi-Angle (FOMA) illuminator features a fold-out side arm on each side, having magnets positioned at the 45, 60, 75, and 90 degree angle from the lens axis for holding the output end of the lightguide, about 3 inches away from the in-focus iris.
This illuminator can do just about anything that any of the prior illuminators can do, so the FOMA is now the standard illuminator in the Miles Eye Camera. For uniform illumination across the iris with corneal reflex appearing in the pupil area, 15 degrees lateral illumination is optimal.

When photographing an iris, the illuminator arm is folded out on the lateral side of the eye, which allows the light source to present a similar amount of light to the iris at any angle. This simplifies exposure and saves time.

The FOMA illuminator in Neutral position:


The FOMA illuminator set for Right or Left Eye:

In addition to the 3 magnets on each arm, the illuminator has magnets at the 15 and 30 degree angle on each side. Since these central 4 magnets are fixed in placement, they can be used for either eye, allowing for medial illumination at angles of 15, 22.5, and 30 degrees.

The magnets can also hold the lightguide between any two adjacent magnets for illumination at angles 22.5, 37.5, 52.5, and 67.5 degrees, along with the 15, 30, 45, 60, and 75 degree positions. In this way, the illuminator provides illumination at any of the 9 angles lateral and 3 angles medial, for a range of 12 angles of illumination for each eye, ranging from -30 (medial) to 75 degrees (lateral).

The key design feature is that when the side arm is in place, the lighting angle can be quickly set or changed to any of the 12 angles by simply lifting the output end of the lightguide and placing it on the magnet at the selected angle (or between two adjacent magnets).

There is no need to adjust the side arms, as is
necessary for all prior Adjustable Side Lighting (ASL) illuminators. The allows
the photographer to quickly set or change the angle of illumination, allowing
for rapid image acquisition using multiple illumination angles. Images using
all five of the basic angles can be obtained in about 1 minute.
Camera System Options
The recommended configuration is the FOMA Illuminator with the Nikon Z7-ii, the 35mm Z-mount extension tube from Fotodiox (to allow the iris to fill the frame), and the new Nikon 105mm Z MC macro lens, and for this along with cords, memory and other accessories, budget $4300 for the 45-megapixel Z7 photo components, and $275 for the optional carry case (airtight/watertight). The FOMA illuminator is on sale for $1500, and the newest version of the Miles Eye Camera Support (the new chinrest) is $1500. For a complete top-of-line system with carry case for camera and illuminator, figure about $7000.
Illuminators are also available as an Illuminator-Only Kit, and the camera and macro lens is available separately. A current generation mirrorless camera with macro lens is typically in the range of $1500 (for small-format APS-C) to $2200 (full-frame 24-megapixel Z5) to $4200 (full-frame 45 megapixel Z7 with Nikon macro lens) or higher.
The new FOMA illuminator is compatible with most camera and macro lens combination that has at least 100mm in front of the lens with in-focus subject. It is primarily made for the Nikon 105mm Z MC and mirrorless Z7/Z5, also DSLRs (DX & FX) using the Nikon 85mm or 105mm VR F-mount lens, and Canon 100mm, Sony 90mm, and other less common lenses. A key consideration is the use of extension tubes – The FOMA illuminator is designed for the standard Nikon Z-Mount 35mm extension tube from Fotodiox, and can be included in the Illuminator-Only Kit if needed. For F-Mount 105mm macro lens, a 56mm extension is required; for Sony mount, 36 to 37mm is recommended. For the APS-C camera using a macro lens, the extension tube is not generally needed.
Newest 90-degree option
The newest version of the FOMA has 6 magnets on each side, including one at 90 degrees from the lens axis, in addition to the magnets at 15 , 30, 45, 60, and 75 degrees.
Alternate 15-90 FOMA (Set for LE at 90 degrees):
FOMA90

Hood-Mount Version of 15-90 FOMA-Z:
(FOMA90-HMI)
Set for 90 RE


The Hood-Mount FOMA90-HMI shown above is a 90-degree capable one (6 magnets on each side).
FOMA75-HMI:


The new FOMA illuminator is now available in a Hood-Mount version!
This type of illuminator is built onto a lens hood for easy mounting and dismounting, and for lighter weight.
The Hood-Mount illuminator is easy to use in handheld mode and is fully self-contained.


The hood-mount illuminator is more compact and lighter weight than the standard Camera-Mount style, and so it is ideal for handheld photography, including photos of non-iris subjects.
For conventional iris photography in a studio, the Camera Mount version is a bit more stable and easier to use, but typically requires a chinrest and stable support.
Either type of FOMA (hood-mount or camera-mount) has an optional airtight/watertight carry case with foam cutouts for each component:

Fold-Out Multi-Angle (FOMA75) Iris Illuminator:
Standard 15-75 FOMA:
FOMA set for 30 LE:

FOMA set for75 RE:

Options
https://youtu.be/G06HGus_iMg
FOMA - Fold-Out Multi-Angle Iris Illuminator
The
newest Miles Eye Camera is shown in this video. The new iris illuminator is
the Fold-Out Multi-Angle Illuminator (FOMA), which allows for rapid switching
of the angle of illumination during imaging of the iris. The FOMA illuminator
has lightguide positioning magnets prepositioned at 15, 30, 45, 60, and 75
degrees from the lens axis on each side, for quick and reliable lighting angle
change. The rectangular magnets hold the lightguide at the selected angle, and
the magnets will also hold the lightguide at each of the 4 intermediate
positions between adjacent magnets, which allows for lighting at 22.5, 37.5,
52.5, 67.5 degrees from the lens axis, so the light can be set at 7.5 degree
intervals from 15 to 75 degrees. By using fold-out arms on each side for the
outer three magnets (45, 60, 75), the illuminator places the light at 2.5
inches from the iris at all angles, resulting in consistent light amount at
each angle. The side arm is folded back to allow the camera to shift over to
the opposite eye.
Product photos and sample iris images are here: http://www.tinyurl.com/miles-foma
See the main collection of sample FOMA iris images here:
https://drive.google.com/drive/folders/1cQ4i_XpYurMpYyUOtINzX14bQaAWGj-5

More About Side Lighting

The same iris can appear quite differently depending on the angle of illumination!
Extreme Side Lighting (ESL) is where the light is around 60 to 90 degrees from the lens axis (glancing illumination) -- this creates more dramatic images:


Compare the image above with this central lighting image taken of the same iris with a stock camera and pop-up flash:

Notice how the lighting is not so great – this is partly due to the angle of illumination being only 30 degrees, but the main reason the image is not so great is that the illumination source (pop-up flash) is placed about 9 inches from the eye, and this is too far away for a good photo!
Next compare the photos of the same iris using the FOMA illuminator to quickly switch from 15 to 75 degrees:


Notice how the image on the left (15-degree lateral side lighting) is ideal for measuring the iris color or distribution of pigment, while the image on the left using ESL shows the texture well. Note also the importance of pupil size on apparent surface texture: as the pupil constricts, the radial arteriole vasculature situated in the upper layer of the iris is stretched out radially, decreasing the extent and size of the lacunae.
Another example of how the use of Extreme Side Lighting (e.g. 80-degree lighting) illustrates the surface terrain:


These image pairs are of the same iris with the only difference being angle of illumination (15-degree Central Lighting vs. 75-degree Extreme Side Lighting).
Below is a closer view of the central zone of this iris using the two angles of illumination:

Imaging the less pigmented iris can also benefit from a second image taken using Extreme Side Lighting (ESL):


The photo on the left was taken with 15-degree lateral (central) lighting; the photo on the right was taken with 75-degree extreme side lighting.
Close-up of pupillary zone illustrating effect of ESL on imaging the blue iris:

![]()
All types of FOMA illuminator can be set for an angle of illumination between -30 (medial) and +75 degrees from the lens axis in the horizontal plane.

Dramatic iris photos printed on 4x6” paper are offered within minutes to visitors at the Carl Zeiss exhibit booth:




For efficient imaging, use a power table to support the camera/chinrest:

Examples showing effect of Angle of Illumination – iris photographed with illumination at 15, 45, and 85 degrees lateral:



The larger Angle of Illumination is able to highlight the variations in surface terrain.
Now compare how an African iris appears with 15, 45 and 75 degree angle of illumination:



Notice how the 75 degree angle of illumination shows the texture of the iris surface in more detail, and the 15-degree (central) lighting shows only the texture of the pigmentation.
Here are some close-up views (crop to pupillary zone), of the same iris, showing the effect of Angle of Illumination:



The new FOMA is designed for getting them all (or many angles) quickly.
Here is a photo sequence – 9 photos of each iris, covering the range of 15 to 75 degrees in 7.5 degree intervals. These photos were acquired in 5 minutes:

See original images straight from the camera here:
https://drive.google.com/drive/folders/1vYVgojOq7n5B4sfAxwxiNeA7uslW_PEn
Here is a set of 11 angles on each iris and they were all taken in less than 5 minutes:

In this case, the 60 or 67 angle look best (first 2 on row 2 & 4). The above sequence is the 6 magnet position angles (15, 30, 45, 60, 75, 90) plus the intermediate 5 angles, for 11 on each side.
You can see how the 90 and 83 degree angles are not so useful. But they are useful for the blue iris! For most purposes, the 15-degree central lighting for the blue iris is best but the 75 to 90 degree will show surface terrain.
Jon Miles, February 2025
The newest method of stabilizing head position during iris photography is the O-Frame, which is mounted via the 12cm ARCA-Swiss clamp on the tabletop base, which has a second clamp for the camera positioner.


Shown above are two variations of the new Chinrest/Camera-Positioner (CRCS-OFXYZ,$1600). With this chinrest it is easy to adjust the chincup height using the side knob, and it is easy to attach disposable face mask for keeping the unit sanitary.
The O-Frame Chinrest is compatible with the FOMA Illuminator:
The camera positioner can be either the Pan-Tilt style (for lower cost) or the more rugged XYZ positioner with Lateral Slider and Precise Focus Track.

Components:

For best results, a lateral slider is used rather than a pan-tilt head; the pan-tilt has limited stability with the heavier camera-lens-illuminator units (they can range up to 2.5-3 kg), however it works fine with lighter-weight units, and this type of positioner is simpler, less weight, and lower cost.

It is also possible to use a conventional macro focus track rather than the more premium dual side-knob focus track – this option will lower the cost. The conventional focus track (depicted below) has 1mm/turn movement; the premium unit has 15mm/turn for improved usability.


The new chinrest includes two pair of attachment posts to hold a disposable face mask for sanitizing:

The O-Frame Chinrest includes two pair of accessory mounting magnets:


The magnet pairs can support a USB Hub, a Modular Focus Light, or a Sliding Selfie Monitor.
Modular Twin Focus Light (MTFL, $150)
The newest option for this chinrest is the Modular Twin Focus Light (MTFL), which provides adjustable focus light for each eye and is powered via a USB C connector. The MTFL is helpful if no illuminator is used; with an illuminator, it can sometimes provide more options for artistic effects. The Modular Twin Focus Light allows for easy illumination of the iris for focusing, and can be positioned lateral to the eye in order to minimize corneal reflex (light reflections coming off of the tear fluid layer of cornea).
The MTFL attaches via two magnets (50mm spacing), and for other chinrests, the Modular Twin Focus Light is also available with optional Magnetic Bracket. The MTFL Square Bracket will hold the control box on the Camera Support in the case of the U-Frame or Twin-Pillar Style (or any other style) chinrest.

The Modular Twin Focus Light can be useful as an alternate modeling light for macro photography, however it is mainly for iris cameras that do not have an illuminator that includes a focus light. The focus light that is built into the illuminator will normally be much better. The MTFL is also useful for continuous-light illumination as is needed for iris videography.


The Height Adjuster includes a magnet bracket to hold a wireless remote (included with iris camera):


Online
Info on FOMA:
www.tinyurl.com/miles-foma


The photo above shows the newest camera positioner for the Miles Eye Camera Support. In this unit, the slider is below the focus track, and the focus track is an extra precise microscope stage, for smooth easy focus with 15mm/turn large knobs on each side. These knobs are also useful for maintaining precise lateral centration with the pupil. Once the lower height adjuster for the camera is set to match the height of the client’s eye, the remaining positioning is done with the knob on either side of the focus track.
The camera with macro lens typically weighs 1.7kg, the illuminator is about 0.5kg, and so this requires a very sturdy support, such as this newest chinrest.
An optional 20x16x8” carry case, airtight/watertight, with custom foam cutouts for all components (using the IM2450) is available for $250.
In the case of an Illuminator-Only Kit (FOMA-IOK) the camera and lens is not included, and the standard camera is the Nikon Z7 and 105mm Z MC macro lens, along with the Fotodiox 35mm extension tube (good to have for a 1.9X mag factor, so as not to waste all those 45 million pixels on non-iris!) – budget about $3500-4300 for the 45-megapixel premium photo option.
Contact me if you have questions or would like to order! If you are ready to order, the next step is to send complete contact info for billing and shipping, so a pro forma invoice document with estimated shipping cost can be prepared and sent for review.
--Jon Miles
Miles Research
Escondido, CA 92026-2349
Tel: 760-746-7415
Email: jon@milesresearch.com
Skype: miles.research
Zoom: 963-166-5477
Archive: https://tinyurl.com/iris-archives
Iris Photos: https://tinyurl.com/iris-pics
Youtube: www.tinyurl.com/jonmiles-youtube
Miles Theory: www.tinyurl.com/theory-miles
Pinterest: www.pinterest.com/milesresearch/iris/
----
Info and Sample Iris Photos for FOMA: www.tinyurl.com/miles-foma
----
Rayid Iris Image Series 1
https://tinyurl.com/rayid-iris-image-series-1
A set of 32 iris photos - 4 exemplars of each Rayid type (Str,F,J, Shkr) and of each subtype (F-Str,J-Str,F-Shkr,J-Shkr)
======
http://tinyurl.com/iris-cameras
http://tinyurl.com/eye-photography
http://tinyurl.com/iris-imaging
https://tinyurl.com/classic-rayid
http://tinyurl.com/newrayid-info
https://tinyurl.com/theory-miles
http://tinyurl.com/divinetruth-info
http://tinyurl.com/images-for-artists
========
This Document: http://www.milesresearch.com/pdf/Newest-Iris-Camera-2025.pdf